二次元裏@ふたば

画像ファイル名:1775978487070.mp4-(1214463 B)
1214463 B26/04/12(日)16:21:27No.1419675995+ 17:58頃消えます
医学的人体改造いいよね…
126/04/12(日)16:23:13No.1419676572+
すきっ歯はどうするの…
226/04/12(日)16:24:19No.1419676896そうだねx17
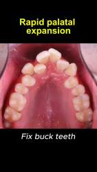
このあと普通の矯正する
326/04/12(日)16:24:51No.1419677090そうだねx5
同時にってわけじゃなくアゴから先にやるのか
426/04/12(日)16:25:18No.1419677264そうだねx9
こんな一気に動かしてもいいんだ
526/04/12(日)16:26:19No.1419677607+
まずはスペース作らんと綺麗に並べられんからな
626/04/12(日)16:26:22No.1419677629そうだねx6
痛そう
726/04/12(日)16:26:43No.1419677730そうだねx32
流石に一気に広げてるわけじゃねー!
826/04/12(日)16:27:19No.1419677909+
複数枚の写真を動画みたいに補正してるだけだから期間あいてるよ
926/04/12(日)16:27:33No.1419677984そうだねx11
>複数枚の写真を動画みたいに補正してるだけだから期間あいてるよ
よかったマジで勘違いしてた
1026/04/12(日)16:27:45No.1419678039+
数秒で終わるのか
1126/04/12(日)16:28:36No.1419678334そうだねx2
骨を割るんですよ
1226/04/12(日)16:28:53No.1419678401+
一気に動いてはないけど常に顎引っ張ってるから拷問だろうな
1326/04/12(日)16:29:54No.1419678758+
顎割るの怖い
1426/04/12(日)16:30:49No.1419679031+
マウスピースですら結構痛いのに
1526/04/12(日)16:31:42No.1419679269そうだねx5
歯の矯正をしたいと思って30年たったけどこんな痛そうなの俺には無理だ…
1626/04/12(日)16:32:19No.1419679460+
Rapidって言うからびっくりしたじゃん
1726/04/12(日)16:34:09No.1419680086+
こんな顎細いとおちょぼ口みたいになってるのかな
1826/04/12(日)16:34:40No.1419680229+
骨は一見無茶な切った貼ったにも応えてくれるからいいよね…
f319437.mp4
fu6540125.mp4
fu6540129.mp4
fu6540141.mp4
fu6540146.mp4
1926/04/12(日)16:34:41No.1419680233+
子供のころやらされてたけど痛くてうどんしか食えなかった
あと明日のジョーのせいでうどんの東ってあだ名にされた
2026/04/12(日)16:34:41No.1419680235+
歯並びは来世に期待だ
2126/04/12(日)16:35:10No.1419680386+
スゴイね
人体
2226/04/12(日)16:35:37No.1419680518そうだねx16
>fu6540146.mp4
うn?
2326/04/12(日)16:35:39No.1419680532+
>スゴイね
>人体
ジャックの骨延長とかもグロいよな
2426/04/12(日)16:36:37No.1419680823+
>骨は一見無茶な切った貼ったにも応えてくれるからいいよね…
スレ「」…?
なんでこんなん集めてるの…?
2526/04/12(日)16:37:06No.1419680951+
>歯の矯正をしたいと思って30年たったけどこんな痛そうなの俺には無理だ…
この治療方法は一般的に正中口蓋縫合が封鎖される18〜20歳までしか使えない
だからこれは高校生まで
2626/04/12(日)16:37:38No.1419681138+
スレ画は刃牙の六波返し?をリアルでやってる
頭蓋骨同士の縫合が固まる前に上顎の結合を外して引き伸ばしてる
大人になると完全にくっついちゃうから骨を切りつつ同じ様に伸ばす
https://2525.biz/medical/orthodontics/rapid_magnification_device/
2726/04/12(日)16:38:26No.1419681414そうだねx13
>>fu6540146.mp4
>うn?
FFは一見無茶な切った貼ったにも応えてくれるからいいよね…
2826/04/12(日)16:38:58No.1419681573+
矯正したら後は流れで…みたいに歯並びが整っていくの笑ってしまう
2926/04/12(日)16:40:43No.1419682084+
そもそもの上顎が狭まって歪んでるんだな
3026/04/12(日)16:41:39No.1419682374+
>子供のころやらされてたけど痛くてうどんしか食えなかった
>あと明日のジョーのせいでうどんの東ってあだ名にされた
五十代か…
3126/04/12(日)16:42:53No.1419682786+
人は不思議な力秘めてる
3226/04/12(日)16:46:13No.1419683879+
顔の形変わらない?
3326/04/12(日)16:46:45No.1419684060+
変わるんじゃねぇかな
3426/04/12(日)16:48:05No.1419684558+
矯正したら見えないとこから歯が出てくるヤツの動画好き
3526/04/12(日)16:49:31No.1419685020+
欠伸噛み殺すたびに下顎が割れそうなくらい痛くなるんだけど子供の頃受けた矯正が関係あるんだろうか
3626/04/12(日)16:50:19No.1419685254+
人体怖い
俺の体どうなってんの
3726/04/12(日)16:51:09No.1419685522+
俺の中顔面陥没も治せないかしら
3826/04/12(日)16:53:53No.1419686360+
>fu6540125.mp4
20歳代のLeFortⅠとSSROはやっぱり骨代謝が活発なせいか術後1年後に抜釘に来たらスクリューが骨の中に埋まってて口腔外科のドクターが取るのに難渋してるのをよく見る
3926/04/12(日)16:54:13No.1419686458+
>骨は一見無茶な切った貼ったにも応えてくれるからいいよね…
本当に応えてくれる?
4026/04/12(日)16:57:53No.1419687630+
>FFは一見無茶な切った貼ったにも応えてくれるからいいよね…
こっわ
4126/04/12(日)16:59:01No.1419687963+
この早送り嘘くさいから信じてない
4226/04/12(日)17:03:58No.1419689543+
頑張ったんだろうなこんなに動かすの
矯正やってるあいだとても辛かったと思う
4326/04/12(日)17:08:38No.1419691034+
タイムラプス動画いいよね
4426/04/12(日)17:15:12No.1419693420+
>骨は一見無茶な切った貼ったにも応えてくれるからいいよね…
>f319437.mp4
>fu6540125.mp4
>fu6540129.mp4
>fu6540141.mp4
>fu6540146.mp4
こ…こんなのもう鳴海じゃないよ!って言葉が思い浮かんだ
4526/04/12(日)17:16:25No.1419693888+
なんでこういう動画はクソダサBGMを付けてしまうのか
4626/04/12(日)17:16:32No.1419693931+
そうはならんやろ
4726/04/12(日)17:17:39No.1419694294+
たぶんこれ数ヶ月ずっと痛いと思う
4826/04/12(日)17:18:00No.1419694390+
>なんでこういう動画はクソダサBGMを付けてしまうのか
大ヒット曲だぜ
4926/04/12(日)17:18:04No.1419694412+
子供のころワイヤーで矯正してた子いたけどなんか気を遣って聞かなかったがやっば毎日歯がジンジンして痛かったんだろうか
5026/04/12(日)17:18:43No.1419694614+
ちんこもずっと引っ張てると伸びるよ
5126/04/12(日)17:18:55No.1419694678+
>>スゴイね
>>人体
>ジャックの骨延長とかもグロいよな
リアルで失敗して足が腐った人がいたような
5226/04/12(日)17:20:02No.1419695029+
>ちんこもずっと引っ張てると伸びるよ
これはマジ
床オナしてたら皮が引っ張られて伸びて包茎になった
5326/04/12(日)17:20:23No.1419695131+
いでえー!
5426/04/12(日)17:23:02No.1419695928+
中から2本出てくるやつじゃないのか…
5526/04/12(日)17:24:19No.1419696277+
これかなり痛いらしいな
しかも細かに調整してくから慣れずに常に痛いとか
5626/04/12(日)17:26:48No.1419697002+
元々の上あごめちゃめちゃ狭そうだな
5726/04/12(日)17:27:34No.1419697215+
歯の噛み合わせは0.1mm以下のズレでストレス感じるから矯正って想像以上に妥協がいるぞ
5826/04/12(日)17:27:44No.1419697264+
フェラ出来なさそう
5926/04/12(日)17:29:35No.1419697792+
こんながっつり広がるんだ⋯
6026/04/12(日)17:32:51No.1419698628+
割れた日はすごく痛いけど翌日以降はそうでもない
って経験者が語ってたな
6126/04/12(日)17:35:40No.1419699388+
上顎割るのめっちゃいたそう
6226/04/12(日)17:43:41No.1419701584+
こんなふうに矯正しても子供には矯正前の歯並びが遺伝で反映される可能性があるんだから悲しいぜ
6326/04/12(日)17:48:18No.1419702941+
>>骨は一見無茶な切った貼ったにも応えてくれるからいいよね…
>本当に応えてくれる?
栄養ちゃんと取ってれば骨は太くなるんだ
海外でおじちゃんおばちゃんゴツいのは水にカルシウムが溶け出してるからだぞ
なので下手な整形で骨削るとゴツい顔とかになるので止めような!
6426/04/12(日)17:48:25No.1419702981+
顎の大きさが遺伝するからかな
歯並びはその結果


1775978487070.mp4