二次元裏@ふたば

画像ファイル名:1770501570912.png-(34076 B)
34076 B26/02/08(日)06:59:30No.1399884696そうだねx5 10:18頃消えます
女の子のところ好き?
このスレは古いので、もうすぐ消えます。
126/02/08(日)07:00:38No.1399884780そうだねx3
実際はスレ画みたいに広がってるわけじゃないそうな
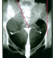
226/02/08(日)07:09:41No.1399885437そうだねx7
みんなには内緒にしてたけど好き…
326/02/08(日)07:11:03No.1399885524そうだねx5
>実際はスレ画みたいに広がってるわけじゃないそうな
いいえ広がってます
何を根拠にそんな嘘を言ってるの?
fu6268565.png
426/02/08(日)07:13:08No.1399885715そうだねx3
「」はほんとそれとない感じでしれっと嘘つくからな…
526/02/08(日)07:13:36No.1399885760+
でもおまんこに対する気持ちは本当だよ
626/02/08(日)07:15:05No.1399885876+
女の子の穴使うの好き
726/02/08(日)07:15:46No.1399885936そうだねx3
>fu6268565.png
これは直接子宮内に造影剤注入してる様子
826/02/08(日)07:16:20No.1399885983そうだねx6
チンポ挿入するところだから好き
チンポ挿入するとチンポも女の子も気持ち良くなってくれるから好き
926/02/08(日)07:17:24No.1399886079+
今めっちゃ重いから嫌い
1026/02/08(日)07:17:54No.1399886119+
この画像なら子宮とキスできそう
1126/02/08(日)07:19:25No.1399886249+
この横に広がってる部分って何の意味があるの?
1226/02/08(日)07:20:20No.1399886333そうだねx4
>今めっちゃ重いから嫌い
なんか悪いね…
1326/02/08(日)07:25:02No.1399886735+
卵子キャッチハンド不思議
1426/02/08(日)07:30:16No.1399887268+
神秘は感じるけど面倒くさそうな器官だなと思う
1526/02/08(日)07:31:41No.1399887442+
腹パンしたい
1626/02/08(日)07:33:42No.1399887673そうだねx1
>卵子キャッチハンド不思議
なんでわざわざ卵巣と離れてるんだろうか
1726/02/08(日)07:42:56No.1399888631+
大好きだよ
1826/02/08(日)07:44:45No.1399888853+
男はチンポ突っ込むだけだけど女の子は命を宿すための準備をしてるからね
1926/02/08(日)07:47:20No.1399889114+
男の性がここキライな人は性同一性障害かゲイ
2026/02/08(日)07:52:02No.1399889732そうだねx5
>>fu6268565.png
>これは直接子宮内に造影剤注入してる様子
なにそれえっちすぎる…
2126/02/08(日)07:54:53No.1399890087+
>なにそれえっちすぎる…
ちなみにこの後腹腔内に造影剤が漏れ出す
2226/02/08(日)07:55:51No.1399890208+
>>卵子キャッチハンド不思議
>なんでわざわざ卵巣と離れてるんだろうか
もともとは卵を産む生き物だったのが胎内で育てる哺乳類に進化したから
2326/02/08(日)08:00:08No.1399890800+
>ちなみにこの後腹腔内に造影剤が漏れ出す
やばくない!?
2426/02/08(日)08:00:25No.1399890834+
出産のコストもっと下げられないのか
2526/02/08(日)08:00:41No.1399890865+
胎生より卵生の方がよくない?
2626/02/08(日)08:03:51No.1399891309+
>やばくない!?
ヤバくないので安心して欲しい
https://repro.yokotamaternity.com/hsg.html
2726/02/08(日)08:24:56No.1399894538+
MOTHER1のマジカントがスレ画の形してるよね
2826/02/08(日)08:25:48No.1399894685+
女の子は嫌いだけど女の子のところは好き
2926/02/08(日)08:32:45No.1399896169+
>胎生より卵生の方がよくない?
赤ちゃんが入るサイズの卵になるがよろしいか
3026/02/08(日)08:33:19No.1399896297+
へえ…
3126/02/08(日)08:35:16No.1399896808+
>>やばくない!?
>ヤバくないので安心して欲しい
>https://repro.yokotamaternity.com/hsg.html
知らなかった…すごいね…人体…
3226/02/08(日)08:50:31No.1399901928+
めちゃくちゃ病気になりやすいし上で出てる造影検査してみたら
卵管が細すぎたり詰まったりしてることもあるので安心してほしい
3326/02/08(日)08:58:25No.1399904279+
>MOTHER1のマジカントがスレ画の形してるよね
ゼルダのトワプリの湖底の神殿ってダンジョンも子宮の形だと思うんだけどググっても全く同じ意見見つからないんだよな…
3426/02/08(日)09:00:49No.1399904949+
まあカントって女性器の意味だし
3526/02/08(日)09:01:14No.1399905063+
>まあカントって女性器の意味だし
マジ
3626/02/08(日)09:02:41No.1399905426+
欲しい
3726/02/08(日)09:05:49No.1399906270+
中学生くらいの頃はこういうイラストとか膣って言葉だけでも興奮したもんだ
3826/02/08(日)09:06:35No.1399906534+
穴の位置もうちょっと離してもいい気がする
3926/02/08(日)09:09:10No.1399907352+
ここから産まれたから感謝してるし今は別の理由で好き
4026/02/08(日)09:09:28No.1399907467そうだねx4
>中学生くらいの頃はこういうイラストとか膣って言葉だけでも興奮したもんだ
今もするが?
4126/02/08(日)09:11:56No.1399908226+
女の子の子宮も卵巣も大好き
って言うとキモがられるので人にはあんまり言えない
4226/02/08(日)09:17:43No.1399909876+
>>>卵子キャッチハンド不思議
>>なんでわざわざ卵巣と離れてるんだろうか
>もともとは卵を産む生き物だったのが胎内で育てる哺乳類に進化したから
なのに不具合頻発するあたりまだ進化の途上なのだろうか
卵管と卵巣がくっつく未来が...?
4326/02/08(日)09:21:10No.1399910864そうだねx1
たちつてとでも興奮するが?
4426/02/08(日)09:24:17No.1399911880+
進化途上かもしれんが…
これでもまあ増えるしおっけーっていう判断かもしれん
4526/02/08(日)09:25:22No.1399912231+
割といらない性質も生きるのに圧かかってなけりゃそのまま残ってるもの多いしな…


fu6268565.png 1770501570912.png