二次元裏@ふたば

画像ファイル名:1767296920359.jpg-(111417 B)
111417 B26/01/02(金)04:48:40No.1388671267そうだねx3 10:32頃消えます
キタ━━━━━━(゚∀゚)━━━━━━ !!!!!
このスレは古いので、もうすぐ消えます。
126/01/02(金)04:50:43No.1388671336そうだねx12
為せば成る
226/01/02(金)04:51:12No.1388671352そうだねx35
手がロボになっちゃった
326/01/02(金)04:52:18No.1388671392そうだねx2
もう片手は?
426/01/02(金)04:53:26No.1388671435そうだねx64
元の状態を想像したくない…
526/01/02(金)04:53:47No.1388671451+
形が残ってる方はくっつけられたのか根元が粉砕されてて使えなかったのか…
626/01/02(金)04:54:23No.1388671469そうだねx42
まぁ完全に欠損するよりはマシか…
726/01/02(金)04:54:41No.1388671481そうだねx14
カスタマイズ博士がカスタマイズされる経過初めて見た
826/01/02(金)04:55:10No.1388671498そうだねx1
クワガタみたいでかっこいいじゃん
926/01/02(金)04:56:41No.1388671552+
これで動くようになるの…?
1026/01/02(金)04:57:22No.1388671579そうだねx71
指二本あるだけでも無いよりずっと出来る事は増えるからね…
1126/01/02(金)04:58:06No.1388671605そうだねx15
思い通り動かすには地獄みたいなリハビリ必要だろうけど脳と筋肉は順応してくと思う
1226/01/02(金)04:58:58No.1388671631そうだねx9
左手はこれレントゲン撮る意味ある?
1326/01/02(金)04:59:10No.1388671641そうだねx5
上の状態から下に持って行くだけでも十分すごいなこれ
1426/01/02(金)05:06:50No.1388671878+
機能的に親指は優先して残そうとするって話を聞いた事がある
1526/01/02(金)05:07:08No.1388671890そうだねx6
もうクリスタルボウイの真似するくらいしか…
1626/01/02(金)05:09:35No.1388671957+
メロイックサイン?
1726/01/02(金)05:09:58No.1388671974+
手のひらと親指があればトラックボールでPCの操作出来るかな
1826/01/02(金)05:12:01No.1388672040+
普通だったらこの状態までイッたらジョセフみたいな義手勧めるとこをめっちゃ頑張ったな
できるだけ元の手に近付けてみたいな希望あったのかな
1926/01/02(金)05:14:27No.1388672119+
元々掌と指の筋肉や神経系ってバカみたいに複雑なのを制御してるからむしろシンプルになる方ならすぐ順応するんじゃね
2026/01/02(金)05:15:27No.1388672150そうだねx4
fu6113548.jpg
閲覧注意ね
2126/01/02(金)05:15:39No.1388672158そうだねx20
緊急で担ぎ込まれて使える部位探してよしこことここ繋げようって何時間も集中して手術するんだからお医者様にはただただ頭が下がる
2226/01/02(金)05:16:26No.1388672180+
拡散希望
2326/01/02(金)05:17:39No.1388672220そうだねx12
>fu6113548.jpg
>閲覧注意ね
若干やったぜ的な✌みたいになってるの不謹慎だけどじわじわ来るな…
いや実際座滅した手をここまで戻してもらったらビクトリーサインもんだけどさ
2426/01/02(金)05:17:48No.1388672225+
二C
2526/01/02(金)05:17:58No.1388672230そうだねx6
>fu6113548.jpg
>閲覧注意ね
両手とは予想外だ
何したんだこの人
2626/01/02(金)05:18:36No.1388672253そうだねx5
バルタン星人とはいえよくここまで戻せたな!?
2726/01/02(金)05:19:20No.1388672275そうだねx2
中国みたいな広いとこはやっぱ野生のブラックジャックもいるんだな…
2826/01/02(金)05:24:20No.1388672448そうだねx2
全力は尽くした
2926/01/02(金)05:27:52No.1388672557+
お前にジャンケンで勝ちたかった…
3026/01/02(金)05:37:57No.1388672895+
2本あればコントローラーも操作出来る気がしてくるな…
3126/01/02(金)05:39:09No.1388672939+
義手にした方が楽じゃないか
3226/01/02(金)05:42:10No.1388673032そうだねx20
義手にするにしても少しでも自分で動かせる指がある方がいい
3326/01/02(金)05:42:24No.1388673037+
>義手にした方が楽じゃないか
いや義“手”にはすると思うが…
3426/01/02(金)05:43:20No.1388673059そうだねx12
頑張ったな…
3526/01/02(金)05:44:39No.1388673107+
表情がなんとも言えんな
3626/01/02(金)05:45:10No.1388673124+
何これ
3726/01/02(金)05:45:37No.1388673145+
2本有れば義指みたいなのも付けやすいだろう
3826/01/02(金)05:50:07No.1388673290+
>fu6113548.jpg
>閲覧注意ね
何で血まみれのまんまなんだよ…
3926/01/02(金)05:52:01No.1388673339+
うーむ
4026/01/02(金)05:52:55No.1388673368+
>義手にするにしても少しでも自分で動かせる指がある方がいい
それは間違いないよね
このバルタン星人の上に他の3本被せたらいいんだし
4126/01/02(金)05:57:29No.1388673533そうだねx3
絶対に開かんぞ!
4226/01/02(金)05:59:09No.1388673592そうだねx13
まあそんなグロくはない
綺麗に縫われてるし寧ろここまで戻せるんだと感動する
4326/01/02(金)06:02:28No.1388673711+
施術後の写真だけだしね
施術前想像したくねぇ〜はめっちゃ思う
4426/01/02(金)06:06:46No.1388673902そうだねx3
レントゲンでも結構グロいな上…
4526/01/02(金)06:07:08No.1388673922そうだねx2
頑張って神経繋ぐの?
4626/01/02(金)06:08:43No.1388673987+
左側はまだ使えそうに見えたけどダメだったか
4726/01/02(金)06:09:11No.1388674002+
どこをどう繋いだか分からんがお医者さんはそれが仕事だから死ぬ気で繋いでくれたんだろう…
人の身体って割とアドリブ効くから後はリハビリでどうにかってとこじゃね
4826/01/02(金)06:16:23No.1388674246+
ロンブロ〜ゾ〜
4926/01/02(金)06:16:37No.1388674255そうだねx1
‚»‚Ì—LŒ´‚Í�¡ƒIƒtƒ�ƒWƒƒ�[‚©‚ç6‰­ˆÈ‰º‚̃Iƒtƒ@�[‚µ‚©‚È‚©‚Á‚½‚©‚çƒnƒ€‚È‚ñ‚¾‚¯‚Ç‚Ë
ƒ�ƒWƒƒ�[‚Ì”N•î�‚“«‚µ‚Ă邩‚ç‚Á‚Ä’N‚Å‚à‚»‚ê–Ⴆ‚é–ó‚¶‚á‚È‚¢‚Ì‚æ
5026/01/02(金)06:21:23No.1388674436そうだねx5
これ並べて撮るレントゲン技師すげぇ
5126/01/02(金)06:24:16No.1388674532+
俺が右手斬られたときはうまくくっついたけどなぁ
5226/01/02(金)06:30:52No.1388674788+
義手用意出来ない途上国だと尺骨と橈骨でカニバサミ出来るようにする事もあるらしい
動く指あるだけ御の字だと思う
5326/01/02(金)06:32:32No.1388674856そうだねx4
尸良さんかな?
5426/01/02(金)06:38:20No.1388675083そうだねx4
撮っとる場合か〜!ってなるけど
まあそんな状況でも確認のためには撮るしかないよな…
5526/01/02(金)06:41:59No.1388675218そうだねx1
上レントゲン撮ってる場合じゃなくね?
5626/01/02(金)06:42:51No.1388675246+
ホロウナイト
5726/01/02(金)06:43:41No.1388675275+
中の骨の状態を確認するためにもレントゲンは必要だろう
5826/01/02(金)06:44:19No.1388675288そうだねx1
両腕飛んだら出血量凄そう…
5926/01/02(金)06:55:08No.1388675675+
欧米だとなんか脳波?拾う義手が出始めてるけどなかなか普及しないね
6026/01/02(金)07:02:32No.1388675976+
>俺が右手斬られたときはうまくくっついたけどなぁ
江戸時代からいらっしゃった?
6126/01/02(金)07:02:33No.1388675977+
事故なのかヨシ!したのだろうか
超痛そうなちぎれ方過ぎる…
6226/01/02(金)07:03:04No.1388676004+
プレス機かなんかでメチャッた感ある潰れ方だな…
6326/01/02(金)07:04:48No.1388676092+
期待はずれ
6426/01/02(金)07:08:30No.1388676262+
神経つなぐとこれでも動くんだから凄いよね
6526/01/02(金)07:14:06No.1388676535+
>>俺が右手斬られたときはうまくくっついたけどなぁ
>江戸時代からいらっしゃった?
遠いむかし遥か彼方銀河で…
6626/01/02(金)07:16:00No.1388676646+
神経と腱をどう繋げてるんだろ…
6726/01/02(金)07:23:33No.1388677098+
>俺が右手斬られたときはうまくくっついたけどなぁ
アイム ユア ファーザー
6826/01/02(金)07:30:14No.1388677523そうだねx1
膝がぐちゃぐちゃになって切断するからきれいな足首を膝代わりにする手術もあったな
6926/01/02(金)07:33:31No.1388677755+
分解されてても中の骨がどうなってるか
確認する為に分離した方もレントゲン撮ったのかな…
7026/01/02(金)07:33:58No.1388677790+
>神経と腱をどう繋げてるんだろ…
腱はある程度大ざっぱでもいけるけど神経は難しくて動かせはしても感覚がないことも多いと聞く
7126/01/02(金)07:46:29No.1388678691+
>>俺が右手斬られたときはうまくくっついたけどなぁ
>アイム ユア ファーザー
お前の息子義手じゃなかったか
7226/01/02(金)07:49:19No.1388678924+
形がのこってる方は直ったのかな
7326/01/02(金)07:55:32No.1388679419+
>膝がぐちゃぐちゃになって切断するからきれいな足首を膝代わりにする手術もあったな
逆向きに付けるやつ?
7426/01/02(金)07:56:57No.1388679530+
これを
こう!
7526/01/02(金)08:00:05No.1388679774+
粉砕って言葉が似合う状態すぎるけどまじで何やってこうなったんだろ…
爆弾みたいなレベルの爆竹でやらかしたのか?
7626/01/02(金)08:00:35No.1388679808+
>膝がぐちゃぐちゃになって切断するからきれいな足首を膝代わりにする手術もあったな
それは膝がガンになって切除するやつだ
7726/01/02(金)08:12:52No.1388680975+
確かにできることは増えるし無くなるよりマシなはずなんだろうけど
自分自身で見た目が受け入れられないと地獄だよなあ
7826/01/02(金)08:13:52No.1388681065+
じっくりやれるならともかく普通にタイムアタックでもあるからなこの手の修復術
医者ってすごい
7926/01/02(金)08:14:52No.1388681174+
マイクラならギリギリできそう
8026/01/02(金)08:15:39No.1388681250そうだねx1
親指は確保したかったなぁ
8126/01/02(金)08:18:42No.1388681540+
限定じゃんけんかな?
8226/01/02(金)08:22:48No.1388681963+
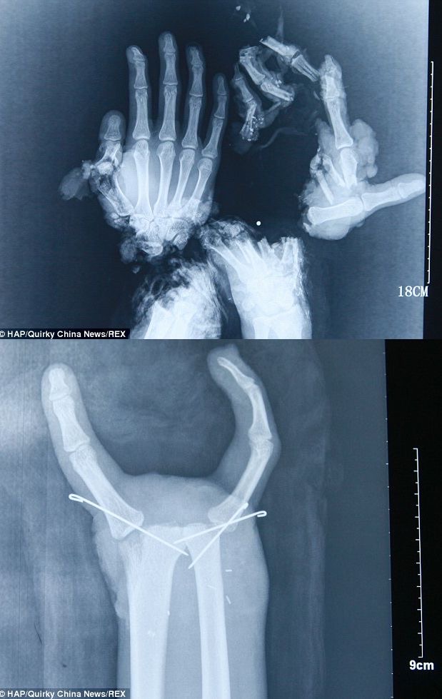
中国湖南省の工場で、18歳くらいの作業員(Wang Jinさん)がハンマー機械に両手を巻き込まれる。
手首から先が切断寸前、指は複数壊滅。
病院で9時間以上の手術。壊れた指は諦めて、使える親指+小指や人差し指を移植・再固定して「2本指の機能的手」にした。
結果、物を掴む・持つ基本動作は回復。術後2週間で指を曲げられるようになったらしい
8326/01/02(金)08:31:06No.1388682937+
指2本あったらゲームはできるか
8426/01/02(金)08:35:21No.1388683474+
潰れて千切れた手でも神経繋がるんだな…
8526/01/02(金)08:40:49No.1388684165+
頑張ったんだろうけど中国じゃなかったらもう少し指残せたんだろうな…って考えてしまう
8626/01/02(金)08:43:37No.1388684532+
受診できる範囲内になんとかできる医者が居ただけでもラッキーと思え
交通事故とかでこうなる可能性は誰にでもある
明日は我が身よ
8726/01/02(金)08:45:52No.1388684840+
医学すんげ〜
8826/01/02(金)08:48:17No.1388685140そうだねx2
>撮っとる場合か〜!ってなるけど
>まあそんな状況でも確認のためには撮るしかないよな…
こんだけぐちゃぐちゃだと変なのが埋まってる危険性あるから撮らない方が危険性
8926/01/02(金)08:50:06No.1388685372+
知り合いがほぼこれだけど骨の突起が残ってるだけでも保持できてマシだって言ってたよ
9026/01/02(金)08:51:11No.1388685513+
手は筋肉あんまないから腱さえ繋がれば握ったりはできるんだろyな
9126/01/02(金)08:55:52No.1388686176+
凄い
でもLEGOみたいって言わせて欲しい
9226/01/02(金)09:04:45No.1388687572+
指先ぐらいならなんか勝手に生えてくるんだっけ
9326/01/02(金)09:09:30No.1388688310+
見た目を隠せる義手みたいなのは欲しいと思っちゃう
9426/01/02(金)09:15:56No.1388689371+
上の画像見るに両手が粉々になったのか
9526/01/02(金)09:17:31No.1388689626+
両手吹っ飛ばしてよく生きてたな…もうちょい綺麗になった後の画像ないのかグロいよ!
9626/01/02(金)09:20:46No.1388690190+
君たちのカスタマイズに期待している!
9726/01/02(金)09:23:55No.1388690696そうだねx1
>もうちょい綺麗になった後の画像ないのかグロいよ!
自分も手術受けたことあるけど血のように見えてる茶褐色部分は消毒液だと思う
9826/01/02(金)09:27:14No.1388691222そうだねx1
こんな状態でも手首から先ロボアームよりも使いやすいし便利なんだろうな…
9926/01/02(金)09:31:23No.1388691947+
でかいまち針はなに?
10026/01/02(金)09:33:07No.1388692236+
>こんな状態でも手首から先ロボアームよりも使いやすいし便利なんだろうな…
義手にしてもトリガー押しに使える指残ってるなら機能性滅茶苦茶アップ出来るからな
10126/01/02(金)09:37:05No.1388692899+
恐ろしいな
生きるってのはリスクだらけだ
怖い
10226/01/02(金)09:47:08No.1388694690+
指紋認証可能!
10326/01/02(金)09:54:55No.1388696161+
人間すげ〜
10426/01/02(金)09:55:29No.1388696268+
>左手はこれレントゲン撮る意味ある?
ある
というかグッチャグチャでもうわからないからレントゲンでとりあえず現状把握しないと計画も立てられない
10526/01/02(金)10:02:07No.1388697540+
>義手用意出来ない途上国だと尺骨と橈骨でカニバサミ出来るようにする事もあるらしい
それは手首から先がなくなっちゃったとき日本でも検討される手術よ
筋肉の力で開閉してモノを挟むことができるので動かない義手より便利
10626/01/02(金)10:03:52No.1388697892+
書き込みをした人によって削除されました
10726/01/02(金)10:18:46No.1388701020+
指1本でも2本でも3本でも0本よりは本当にできることあるから残せるなら残そうと色々考えたりプランを立ててくれる医師はすごい


fu6113548.jpg 1767296920359.jpg